العناية بالأسنان للأطفال: دليل شامل للحفاظ على صحة أسنان طفلك
عندما تلاحظين تلك البقع البيضاء الصغيرة على أسنان طفلك أو عندما يشتكي من ألم بسيط عند تناول الحلوى قد تتساءلين هل هذا مجرد عارض مؤقت أم بداية لمشكلة أكبر؟ إن العناية بالأسنان للأطفال تبدأ قبل وقت طويل من هذه اللحظات. تعد صحة الفم جزءا أساسيا من الصحة العامة للطفل وعلى الرغم من أن تسوس الأسنان مرض يمكن الوقاية منه إلى حد كبير إلا أنه لا يزال أكثر الأمراض المزمنة شيوعا في مرحلة الطفولة على مستوى العالم . إن الإهمال في هذا الجانب لا يؤثر فقط على ابتسامة طفلك بل قد يؤثر سلبا على قدرته على الأكل والنوم والتعلم والنمو بشكل سليم.
لماذا تحتاج أسنان الأطفال للعناية الخاصة؟
تختلف أسنان الأطفال اللبنية (أسنان الحليب) بشكل جوهري عن الأسنان الدائمة. على سبيل المثال مينا الأسنان اللبنية أرق وأقل مقاومة للأحماض التي تنتجها البكتيريا بعد تناول السكريات مما يجعلها أكثر عرضة للتسوس. بالإضافة إلى ذلك فإن الحجم الصغير لأسنانهم وتضاريسها المعقدة يجعلان عملية التنظيف تحديا حقيقيا يتطلب أدوات وتقنيات خاصة . إن أي مشكلة في هذه الأسنان المؤقتة يمكن أن تمهد الطريق لمشاكل مستقبلية في الأسنان الدائمة وصحة الفم العامة. لهذا السبب فإن فهم أساسيات صحة أسنان الأطفال ليس رفاهية بل ضرورة ملحة لكل والدين.
الفرق بين الأسنان اللبنية والدائمة
يمتلك الأطفال 20 سنا لبنيا تبدأ بالظهور عادة حول الشهر السادس من العمر وتكتمل في عمر الثالثة تقريبا. هذه الأسنان أصغر حجما وأكثر بياضا من الأسنان الدائمة التي يبلغ عددها 32 سنا وتبدأ بالبزوغ في عمر السادسة. الفروقات لا تقتصر على الشكل فقط بل تشمل البنية أيضا حيث إن حجرة اللب (العصب) في الأسنان اللبنية أكبر حجما وأقرب للسطح مما يعني أن التسوس يمكن أن يصل إلى العصب بسرعة أكبر مسببا ألما شديدا والتهابات . كذلك فإن العناية بالأسنان للأطفال في هذه المرحلة تعتبر استثمارا طويل الأمد.
أهمية الأسنان اللبنية للنمو الصحي
هناك اعتقاد شائع وخاطئ بأن الأسنان اللبنية لا تستحق الكثير من الاهتمام لأنها "ستسقط على أي حال". لكن في الواقع تلعب هذه الأسنان أدوارا حيوية لا يمكن الاستغناء عنها.
- التغذية السليمة: تمكن الأسنان السليمة الطفل من مضغ مجموعة متنوعة من الأطعمة بشكل صحيح وهو أمر أساسي للحصول على العناصر الغذائية اللازمة لنمو دماغه وجسمه.
- تطور الكلام: تلعب الأسنان دورا مهما في نطق العديد من الحروف والأصوات وفقدانها المبكر قد يؤثر على وضوح كلام الطفل.
- حافظة للمسافات: تعمل كل سن لبنية كدليل وحافظ للمسافة اللازمة لبزوغ السن الدائم الذي سيحل محلها. إذا فقدت سن لبنية قبل الأوان قد تتحرك الأسنان المجاورة لسد الفراغ مما يسبب تزاحما أو اعوجاجا للأسنان الدائمة .
- الثقة بالنفس: تساهم الابتسامة الصحية في تعزيز ثقة الطفل بنفسه وتفاعله الاجتماعي مع أقرانه.
بناء على ذلك فإن الحفاظ على صحة أسنان الأطفال اللبنية هو الخطوة الأولى نحو ضمان صحة الفم مدى الحياة.
2. متى تبدأ العناية بأسنان الطفل؟
تبدأ رحلة العناية بالأسنان للأطفال قبل وقت طويل من ظهور أول سن لامع في فم طفلك. في الحقيقة إن تأسيس عادات نظافة الفم الصحية منذ الولادة هو استثمار بسيط له عائد كبير على صحة طفلك المستقبلية.
العناية بالفم قبل ظهور الأسنان الأولى
توصي منظمات طب الأسنان العالمية مثل الأكاديمية الأمريكية لطب أسنان الأطفال بالبدء في تنظيف فم الرضيع بعد أيام قليلة من الولادة. يمكن القيام بذلك بسهولة عن طريق استخدام قطعة قماش ناعمة أو شاش نظيف مبلل بالماء لمسح لثة الطفل بلطف بعد كل رضعة وقبل النوم. هذه الخطوة البسيطة لا تساعد فقط على إزالة بقايا الحليب والبكتيريا التي قد تكون موجودة في الفم بل الأهم من ذلك أنها تعود الطفل على الإحساس بعملية التنظيف مما يجعل الانتقال إلى استخدام فرشاة الأسنان في المستقبل أكثر سلاسة وتقبلا من جانبه كما أنها تقلل من انتقال بكتيريا التسوس (Streptococcus mutans) من الأم أو مقدم الرعاية إلى الطفل.
موعد ظهور الأسنان اللبنية
تبدأ الأسنان اللبنية رحلتها بالظهور عادة ما بين عمر 6 إلى 12 شهرا وغالبا ما تكون القواطع الأمامية السفلية هي أول ما يظهر. ومع ذلك فإن هناك تباينا كبيرا بين الأطفال فبعضهم قد تبزغ أسنانه الأولى في وقت مبكر عند 4 أشهر والبعض الآخر قد يتأخر حتى 14 شهرا. بحلول سن الثالثة يكون لدى معظم الأطفال مجموعة كاملة من 20 سنا لبنيا جاهزة للمضغ والابتسام. من هنا تتضاعف أهمية صحة أسنان الأطفال حيث تصبح الأسنان جزءا فعليا من حياتهم اليومية.

تظهر الأسنان اللبنية عادة بين عمر 6 و 12 شهرا مما يستدعي بدء التنظيف بالفرشاة .
العلامات الأولى لبزوغ الأسنان
تعد مرحلة التسنين من المراحل التي قد تكون مزعجة للطفل وللوالدين. يمكن أن تشمل الأعراض التي تسبق بزوغ السن ما يلي:
- التهيج والبكاء أكثر من المعتاد.
- زيادة ملحوظة في سيلان اللعاب.
- تورم طفيف واحمرار في اللثة.
- رغبة شديدة في عض ومضغ الأشياء.
- اضطرابات في النوم أو انقطاع في الشهية.
لتخفيف الانزعاج يمكن تقديم عضاضة مبردة (غير مجمدة) للطفل أو تدليك لثته بلطف باستخدام إصبع نظيف. حالما يخترق السن الأول سطح اللثة يكون قد حان الوقت لبدء مرحلة جديدة ومهمة في العناية بالأسنان للأطفال: التنظيف بالفرشاة.
3. أساسيات تنظيف أسنان الأطفال
يعتبر التنظيف اليومي الصحيح هو الركيزة الأساسية لصحة أسنان الأطفال. فبمجرد ظهور السن الأول تبدأ مسؤولية حمايته من التسوس. يتطلب هذا الأمر استخدام الأدوات والتقنيات المناسبة لكل مرحلة عمرية لضمان فعالية التنظيف وبناء عادات تدوم مدى الحياة.
تنظيف الأسنان للأطفال الرضع (6-12 شهر)
فور بزوغ السن الأول يجب استبدال الشاش المبلل بفرشاة أسنان مخصصة للرضع. تتميز هذه الفرشاة برأس صغير جدا وشعيرات فائقة النعومة مصممة لتكون لطيفة على لثة الطفل وأسنانه الجديدة. أما بالنسبة لمعجون الأسنان فالتوصيات الحديثة من الجمعيات الطبية العالمية تؤكد على استخدام معجون أسنان يحتوي على الفلورايد ولكن بكمية ضئيلة جدا تعادل حجم حبة الأرز ("smear"). يتم تنظيف أسنان الرضيع مرتين يوميا صباحا ومساء قبل النوم مباشرة. إن كيفية تنظيف أسنان الطفل الرضيع بهذه الطريقة المبكرة تعد من أقوى الاستراتيجيات لمنع تسوس الطفولة المبكرة الذي يمكن أن يكون عدوانيا جدا في هذه المرحلة العمرية.
تعليم الأطفال فرش الأسنان (2-6 سنوات)
عندما يبلغ الطفل عامه الثاني يمكن البدء بزيادة كمية معجون الأسنان المحتوي على الفلورايد إلى ما يعادل حجم حبة البازلاء. خلال هذه الفترة يبدأ الطفل بتطوير مهاراته الحركية ورغبته في الاستقلالية وتقليد الكبار. لذلك يجب تشجيعه على محاولة تنظيف أسنانه بنفسه ولكن تحت إشراف الوالدين. الدور الأبوي هنا لا يزال أساسيا فيجب على أحد الوالدين إعادة تنظيف الأسنان مرة أخرى للتأكد من وصول الفرشاة إلى جميع الأسطح خاصة الأضراس الخلفية التي يصعب على الطفل الوصول إليها. يستمر هذا الإشراف والمساعدة حتى يمتلك الطفل المهارة الكافية للقيام بذلك بشكل فعال لوحده وهو ما يحدث عادة بين سن السادسة والثامنة.
اختيار فرشاة الأسنان المناسبة للأطفال
يعد اختيار فرشاة أسنان الأطفال المناسبة عاملا مهما في تشجيعهم على تنظيف أسنانهم بانتظام. إليك بعض المواصفات التي يجب البحث عنها:
- رأس فرشاة صغير: يتناسب مع حجم فم الطفل الصغير ويتيح الوصول السهل لجميع الأسنان.
- شعيرات ناعمة ومستديرة الأطراف: لحماية المينا الرقيقة واللثة الحساسة من أي خدش أو تهيج.
- مقبض كبير وسميك: مصمم خصيصا ليتمكن الطفل من الإمساك به والتحكم فيه بسهولة.
- تصميم ملون وجذاب: اختيار فرشاة تحمل شخصية كرتونية محبوبة أو ألوانا زاهية يمكن أن يحول مهمة تنظيف الأسنان إلى نشاط ممتع ينتظره الطفل.
أنواع معجون الأسنان الآمنة للأطفال
يعتبر الفلورايد عنصرا حاسما في الوقاية من التسوس فهو يعيد تمعدن المينا ويقويها ضد هجمات الأحماض. بالتالي فإن أفضل معجون أسنان للأطفال هو الذي يحتوي على الفلورايد. ومع ذلك من الضروري الالتزام بالكميات الموصى بها لتجنب أي آثار جانبية.
- منذ بزوغ السن الأول حتى عمر 3 سنوات: استخدم كمية بحجم حبة الأرز.
- من عمر 3 إلى 6 سنوات: استخدم كمية بحجم حبة البازلاء.
الإشراف الدقيق خلال تنظيف الأسنان ضروري لتعليم الطفل كيفية بصق المعجون الزائد وعدم ابتلاعه. إن هذه الممارسة تضمن حصول الطفل على فوائد الفلورايد مع تقليل خطر الإصابة بالتفلور السني وهي حالة تجميلية تظهر كبقع على الأسنان الدائمة نتيجة لابتلاع كميات كبيرة من الفلورايد خلال فترة تكون الأسنان. تظل هذه التعليمات جزءا محوريا من أي برنامج فعال لـ العناية بالأسنان للأطفال.
4. التغذية الصحية لأسنان قوية
لا تكتمل العناية بالأسنان للأطفال دون الاهتمام بالتغذية. إن العلاقة بين النظام الغذائي وصحة الفم مباشرة وقوية. ما يأكله طفلك لا يؤثر فقط على نموه وصحته العامة بل يلعب أيضا دورا حاسما في تحديد قوة أسنانه ومقاومتها للتسوس. إن تحقيق توازن غذائي صحي هو خط دفاع أول للحفاظ على صحة أسنان الأطفال.
الأطعمة المفيدة لصحة الأسنان
لتعزيز صحة الفم يجب أن يشتمل النظام الغذائي لطفلك على الأطعمة التي تبني أسنانا قوية وتساعد على تنظيف الفم بشكل طبيعي:
- منتجات الألبان والأطعمة الغنية بالكالسيوم: يعد الجبن والحليب والزبادي من أفضل المصادر للكالسيوم والفوسفات وهما معدنان أساسيان في تكوين وإعادة تمعدن مينا الأسنان مما يجعلها أكثر صلابة.
- الفواكه والخضروات المقرمشة: مثل التفاح والجزر والكرفس. هذه الأطعمة تتطلب مضغا جيدا مما يحفز إنتاج اللعاب الذي يعتبر المنظف الطبيعي للفم فهو يساعد على معادلة الأحماDض وغسل جزيئات الطعام.
- الخضروات الورقية: مثل السبانخ واللفت غنية بالفيتامينات والمعادن بما في ذلك الكالسيوم وحمض الفوليك وهما ضروريان للحفاظ على صحة اللثة.
- البروتينات: اللحوم والدواجن والأسماك والبيض تحتوي على الفوسفور الذي يحمي ويقوي مينا الأسنان
الأطعمة الضارة التي يجب تجنبها
على الجانب الآخر هناك أطعمة تشكل خطرا على أسنان الأطفال ويجب الحد من استهلاكها بشكل كبير:
- الحلويات اللزجة والمصاصات: تلتصق هذه السكريات بالأسنان لفترة طويلة مما يمنح البكتيريا وقتا كافيا لإنتاج الأحماض الضارة.
- المشروبات السكرية والغازية: العصائر المصنعة والمشروبات الغازية ليست فقط غنية بالسكريات بل تحتوي أيضا على أحماض (مثل حمض الفوسفوريك والستريك) التي تزيد من تآكل مينا الأسنان.
- الكربوهيدرات المصنعة: مثل رقائق البطاطس والبسكويت والخبز الأبيض تتحلل بسهولة في الفم إلى سكريات بسيطة تلتصق بالأسنان وتغذي بكتيريا التسوس.
- الفواكه المجففة: على الرغم من قيمتها الغذائية إلا أنها مركزة بالسكريات وتتميز بقوامها اللزج الذي يجعلها تلتصق بالأسنان.
تأثير السكريات على أسنان الأطفال
السكريات هي الوقود الرئيسي للبكتيريا المسببة للتسوس (مثل Streptococcus mutans). عندما يتناول الطفل السكريات تقوم هذه البكتيريا باستهلاكها وتنتج كناتج ثانوي أحماضا قوية. هذه الأحماض تهاجم طبقة المينا الصلبة المحيطة بالسن وتنزع منها المعادن. هذا الهجوم الحمضي هو ما يعرف بعملية إزالة التمعدن. إذا تكررت هذه العملية بشكل مستمر دون إعطاء فرصة للعاب والفلورايد لإصلاح الضرر وإعادة تمعدن السن تبدأ النقاط الضعيفة في المينا بالظهور وتتحول في النهاية إلى تجويف أو "سوسة". لذلك فإن تكرار تناول السكريات على مدار اليوم أكثر ضررا من تناول كمية كبيرة مرة واحدة.
أهمية الكالسيوم والفيتامينات
بناء أسنان قوية يبدأ من الداخل. يلعب كل من الكالسيوم والفيتامينات أدوارا حيوية في صحة أسنان الأطفال:
- الكالسيوم: هو حجر البناء الأساسي للأسنان والعظام. يساعد في الحفاظ على قوة المينا.
- فيتامين د: ضروري جدا لأنه يساعد الجسم على امتصاص الكالسيوم والاستفادة منه. يمكن الحصول عليه من التعرض لأشعة الشمس ومن الأطعمة المدعمة مثل الحليب.
- فيتامين ج: يلعب دورا حاسما في صحة اللثة حيث يساهم في بناء الكولاجين الذي يحافظ على قوة الأنسجة الرابطة للثة.
إن النظام الغذائي المتوازن والغني بهذه العناصر لا يدعم فقط العناية بالأسنان للأطفال بل يضع أساسا لصحة جيدة مدى الحياة.
5. مشاكل الأسنان الشائعة عند الأطفال
على الرغم من الجهود الوقائية تبقى صحة أسنان الأطفال عرضة لبعض المشاكل الشائعة التي تتطلب انتباه الوالدين وتدخلهم السريع. إن التعرف على هذه المشاكل وأعراضها هو خطوة أولى نحو تحقيق العناية بالأسنان للأطفال بشكل فعال ومنع تطور المضاعفات.
تسوس الأسنان اللبنية
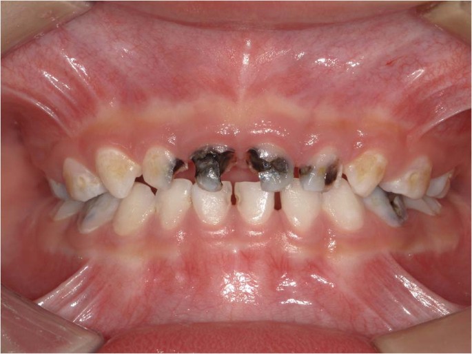
يعتبر تسوس الطفولة المبكرة (Early Childhood Caries - ECC) هو التحدي الأكبر في مجال طب أسنان الأطفال. تبدأ هذه المشكلة غالبا بظهور بقع بيضاء باهتة على سطح السن خاصة على طول خط اللثة وهي علامة مبكرة على فقدان المعادن من المينا. إذا لم يتم التعامل مع هذه المرحلة الأولية يمكن أن تتطور هذه البقع إلى اللون البني أو الأسود ثم تتحول إلى حفر أو تجاويف واضحة.

مظاهر تسوس الطفولة المبكرة (ECC) في مراحل مختلفة.
يرتبط تسوس الأسنان عند الأطفال بشكل وثيق بعادات مثل النوم أثناء الرضاعة من الزجاجة (التي تحتوي على غير الماء) أو الاستهلاك المتكرر للأطعمة والمشروبات السكرية بالإضافة إلى عدم كفاية النظافة الفموية. من المهم التأكيد على أن علاج تسوس الأسنان اللبنية ليس اختياريا بل ضروريا لتجنب الألم الشديد والالتهابات التي قد تؤثر على صحة الطفل العامة وحتى على نمو الأسنان الدائمة.
التهاب اللثة عند الأطفال
يعتقد الكثيرون أن أمراض اللثة تقتصر على البالغين ولكن هذا غير صحيح. يمكن للأطفال أيضا أن يعانوا من التهاب اللثة والذي ينتج بشكل أساسي عن تراكم طبقة البلاك على الأسنان. يتميز التهاب اللثة باحمرار اللثة وتورمها وسهولة نزيفها خاصة أثناء تنظيف الأسنان. الخبر السار هو أن التهاب اللثة في مراحله المبكرة يمكن عكسه تماما من خلال تحسين روتين العناية بصحة أسنان الأطفال بما في ذلك التنظيف الدقيق بالفرشاة والخيط. إذا تم إهماله فقد يتطور إلى مشاكل أكثر خطورة.
مشاكل الأسنان الناتجة عن الرضاعة
ما يعرف بـ"تسوس الرضّاعة" (Baby Bottle Tooth Decay) هو شكل حاد من التسوس يصيب عادة الأسنان الأمامية العلوية للرضع. يحدث هذا عندما يُترك الطفل لينام مع زجاجة تحتوي على الحليب أو العصير أو أي سائل محلى. خلال النوم يقل تدفق اللعاب مما يسمح للسكر بالبقاء على الأسنان لفترات طويلة وتوفير بيئة مثالية لنمو البكتيريا التي تسبب التسوس. للوقاية من هذه المشكلة الخطيرة يجب تجنب وضع الطفل في السرير مع أي زجاجة تحتوي على سائل غير الماء. يجب أيضا العمل على فطم الطفل من الزجاجة والانتقال إلى الكوب بحلول عامه الأول.
عادات ضارة (مص الإبهام، اللهاية)
تعتبر عادات مثل مص الإبهام أو استخدام اللهاية أمرا طبيعيا وشائعا لدى الرضع كوسيلة للتهدئة والشعور بالأمان. في معظم الحالات يتخلى الأطفال عن هذه العادات من تلقاء أنفسهم بين سن الثانية والرابعة. ولكن إذا استمرت هذه العادات بقوة بعد سن الرابعة أو الخامسة فقد تؤثر على نمو الفكين ومحاذاة الأسنان وقد تؤدي إلى:
- عضة مفتوحة أمامية: حيث لا تلتقي الأسنان الأمامية العلوية والسفلية عند إغلاق الفم.
- دفع الأسنان العلوية إلى الأمام وبروزها.
- تضيق في الفك العلوي.
من المهم التعامل مع هذه العادات بلطف وصبر. يمكن لطبيب أسنان الأطفال تقديم النصائح المناسبة للوالدين لمساعدة أطفالهم على التخلي عن هذه العادات قبل أن تسبب مشاكل دائمة كجزء من خطة شاملة لـ العناية بالأسنان للأطفال.
6. زيارة طبيب الأسنان للأطفال
إن بناء علاقة إيجابية مع طبيب الأسنان منذ الصغر هو أحد أهم ركائز العناية بالأسنان للأطفال. الزيارة المبكرة والمنتظمة لا تهدف فقط إلى علاج المشاكل بل إلى الوقاية منها وتأسيس "منزل سني" (Dental Home) يشعر فيه الطفل بالأمان والراحة.
متى يجب أن يزور الطفل طبيب الأسنان لأول مرة؟
الإجابة على هذا السؤال بسيطة وواضحة جدا بناء على توصيات أكبر الهيئات المتخصصة في طب أسنان الأطفال مثل الأكاديمية الأمريكية لطب أسنان الأطفال (AAPD): "يجب أن تتم الزيارة الأولى في غضون ستة أشهر من بزوغ أول سن للطفل أو بحلول عيد ميلاده الأول أيهما يأتي أولاً" .
هذه الزيارة المبكرة تحمل أهمية قصوى للأسباب التالية:
- الوقاية والتقييم المبكر: تتيح هذه الزيارة لطبيب الأسنان تقييم خطر إصابة الطفل بالتسوس بناء على تاريخ العائلة الصحي وعادات التغذية والنظافة.
- تثقيف الوالدين: هي فرصة ذهبية للوالدين لتعلم أفضل الطرق لتنظيف أسنان طفلهم والتعامل مع آلام التسنين والحصول على إرشادات تغذية صحيحة.
- كسر حاجز الخوف: عندما تكون الزيارة الأولى وقائية وليست مرتبطة بألم أو علاج طارئ فإنها تخلق تجربة إيجابية لدى الطفل وتزيل أي رهبة مستقبلية من عيادة الأسنان.
كيفية تحضير الطفل لزيارة طبيب الأسنان
لجعل تجربة زيارة طبيب الأسنان ناجحة ومريحة للطفل يمكن للوالدين اتباع بعض الخطوات البسيطة:
- التحدث بإيجابية: استخدم كلمات بسيطة وإيجابية عند الحديث عن الزيارة. قل "سيقوم الطبيب بعد أسنانك والتأكد من أنها تلمع" بدلا من استخدام كلمات مخيفة مثل "إبرة" أو "حفر".
- الاختيار المدروس للعيادة: ابحث عن عيادة متخصصة في طب الأطفال. على سبيل المثال في **مجمع عيادات رها الطبي بالرياض**، نوفر بيئة مصممة خصيصا للأطفال مع فريق طبي مدرب على التعامل معهم بلطف وصبر مما يضمن تجربة مريحة وممتعة.
- لعب الأدوار في المنزل: يمكنك أن تلعب دور طبيب الأسنان مع طفلك وتنظر في فمه باستخدام مرآة صغيرة هذا يجعل الإجراء مألوفا لديه.
- توقيت الزيارة: اختر وقتا تكون فيه نفسية الطفل جيدة وغير متعب أو جائع. المواعيد الصباحية غالبا ما تكون الخيار الأفضل.
أهمية الفحص الدوري للأسنان
لا تقل أهمية الفحوصات الدورية عن الزيارة الأولى. بعد تأسيس "المنزل السني" يجب أن تستمر الزيارات بشكل منتظم عادة كل ستة أشهر أو حسب توصية الطبيب بناء على حالة الطفل. هذه الزيارات المنتظمة ضرورية لـ:
- التنظيف الاحترافي: لإزالة أي تراكمات للبلاك أو الجير لا يمكن إزالتها في المنزل.
- تطبيقات الفلورايد الوقائية: لتقوية المينا وجعل الأسنان أكثر مقاومة للتسوس.
- المراقبة المستمرة للنمو: للتأكد من أن الأسنان والفكين ينموان بشكل سليم واكتشاف أي مشاكل تقويمية في وقت مبكر.
- الكشف المبكر عن التسوس: علاج التسوس في مراحله الأولى يكون أسهل وأقل تكلفة وتعقيدا.
تذكر أن الوقاية خير من العلاج والفحص الدوري هو أفضل استثمار في صحة أسنان الأطفال على المدى الطويل.
7. نصائح عملية للوالدين
تظل المشاركة الفعالة للوالدين هي حجر الزاوية في نجاح أي خطة لـ العناية بالأسنان للأطفال. ومع ذلك قد يواجه بعض الآباء تحديات في جعل تنظيف الأسنان عادة يومية محببة لأطفالهم. لحسن الحظ هناك العديد من الاستراتيجيات الحديثة والمبتكرة التي يمكن أن تحول هذه المهمة من معركة يومية إلى لحظة ممتعة من التواصل واللعب.
كيفية جعل تنظيف الأسنان ممتعاً للطفل
السر يكمن في ربط عملية التنظيف بالتسلية والإبداع. إليك بعض الأفكار التي أثبتت فعاليتها:
- أغنية الدقيقتين: اختر أغنية يحبها طفلك مدتها دقيقتان واجعلوها "أغنية تنظيف الأسنان" الرسمية. هذا يساعد على ضمان استمرار التنظيف للمدة الموصى بها.
- التكنولوجيا كحليف: استثمر في فرشاة أسنان كهربائية مخصصة للأطفال ذات مؤقت أو استخدم تطبيقات على الهاتف المحمول تحول تنظيف الأسنان إلى لعبة تفاعلية بمكافآت ونقاط .
- تحويلها إلى قصة: اروي لطفلك قصة عن "فرشاة الأسنان البطلة" التي تحارب "جراثيم التسوس الشريرة" وتنقذ "مدينة الأسنان البيضاء". هذا الخيال يمكن أن يكون محفزا قويا.
الواقع الافتراضي (VR): تظهر الأبحاث الحديثة أن استخدام تقنية الواقع الافتراضي في عيادات الأسنان يقلل بشكل كبير من قلق الأطفال وألمهم أثناء العلاج . يمكن استلهام هذه الفكرة في المنزل بجعل وقت تنظيف الأسنان مغامرة مثيرة باستخدام الخيال والأصوات الممتعة.

استخدام الواقع الافتراضي يمكن أن يحول تجربة طب الأسنان إلى مغامرة ممتعة للأطفال.
إنشاء روتين يومي للعناية بالأسنان
الاستمرارية والروتين هما مفتاح النجاح في بناء أي عادة صحية.
- التنظيف كجزء من روتين النوم: اجعل تنظيف الأسنان هو الخطوة الأخيرة في روتين ما قبل النوم مباشرة بعد قصة المساء. هذا يربط التنظيف بنهاية اليوم والهدوء.
- المشاركة العائلية: عندما ينظف جميع أفراد العائلة أسنانهم معا يصبح الأمر نشاطا اجتماعيا بدلا من كونه واجبا فرديا. الأطفال يحبون تقليد والديهم.
- جدول المكافآت البصري: استخدم لوحة ملصقات بسيطة. يحصل الطفل على ملصق نجمة لكل مرة ينظف فيها أسنانه وبعد جمع عدد معين من النجوم يمكنه الحصول على جائزة بسيطة.
التعامل مع مقاومة الطفل لتنظيف الأسنان
من الشائع أن يبدي الأطفال مقاومة تجاه تنظيف أسنانهم في مرحلة ما. المهم هو كيفية التعامل مع هذا السلوك بهدوء وحكمة.
- تفهم السبب: حاول أن تعرف سبب المقاومة. هل يجد طعم المعجون غير مستساغ؟ هل الفرشاة قاسية على لثته؟ أم أنها مجرد محاولة لإثبات استقلاليته؟
- امنحه شعورا بالسيطرة: دعه يختار فرشاة الأسنان أو نكهة المعجون (من بين خيارات صحية). أو اسمح له أن "يساعدك" في تنظيف أسنانك أولا.
- كن حازما ولطيفا: اشرح له ببساطة أن تنظيف الأسنان مهم لصحته تماما مثل الاستحمام أو غسل اليدين وأنه ليس خيارا. استخدم عبارات مثل "أعلم أنك لا تحب ذلك الآن لكننا سنقوم به معا بسرعة".
- استشر الخبراء: إذا كانت المقاومة شديدة ومستمرة فلا تتردد في طلب المساعدة. فريقنا في عيادة طب الأسنان في مجمع رها الطبي لديه الخبرة لتقديم استراتيجيات سلوكية متقدمة ومساعدة طفلك على تجاوز هذه المرحلة بنجاح.
حان وقت الابتسامة الصحية!
في مجمع عيادات رها الطبي، نؤمن بأن العناية بالأسنان للأطفال تبدأ بابتسامة مطمئنة. فريقنا المتخصص في طب أسنان الأطفال جاهز لتقديم أفضل رعاية لطفلك باستخدام أحدث التقنيات وأكثرها أمانًا. سواء كانت زيارة وقائية أو خطة علاجية مخصصة، نحن هنا لمساعدتك.
احجز استشارة لطفلك اليوم وتأكد من أن صحة أسنانه في أيدٍ أمينة.
تواصل معنا للحصول على خطة علاجية مخصصة لطفلك تتناسب مع احتياجاته. نحن في انتظاركم من الساعة 9 صباحًا حتى الساعة 12 مساءً.
لا يفوتك ايضا : عيادة أطفال بالرياض – كشف وتطعيمات ورعاية شاملة للأطفال
المصادر:
- https://www.nature.com/articles/s41368-022-00186-0
- https://pmc.ncbi.nlm.nih.gov/articles/PMC8467268/
- https://pubmed.ncbi.nlm.nih.gov/9671200/
- https://jdh.adha.org/content/97/1/4
- https://www.colgate.com/en-us/oral-health/kids-oral-care/dental-caries-in-infants-implications-and-prevention
- https://pmc.ncbi.nlm.nih.gov/articles/PMC2435315/
- https://pmc.ncbi.nlm.nih.gov/articles/PMC5514393/
- https://bmcoralhealth.biomedcentral.com/articles/10.1186/s12903-023-03516-8
- https://pmc.ncbi.nlm.nih.gov/articles/PMC10404335/
- https://pubmed.ncbi.nlm.nih.gov/19186776/
- https://pmc.ncbi.nlm.nih.gov/articles/PMC3470809/
- https://www.ijohd.org/html-article/23702