كيف يتم التبييض الداخلي للأسنان؟ 10 نقاط أساسية يجب معرفتها
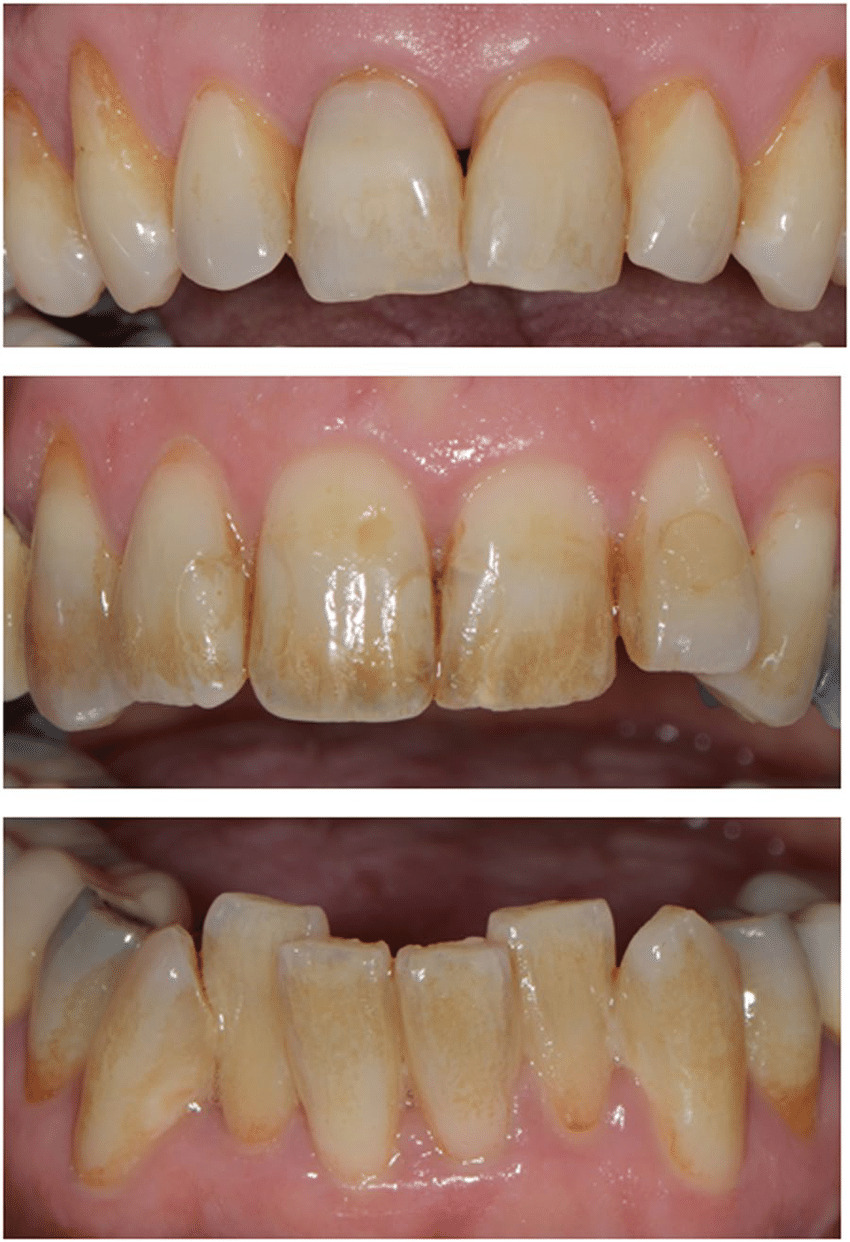
عندما تنظر في المرآة قد تلفت انتباهك تلك السن الوحيدة التي تبدو أغمق لونا من بقية أسنانك مما يؤثر على جمال ابتسامتك وثقتك بنفسك. قد تتساءل بقلق: هل هذا التغير في اللون ناتج عن علاج عصب قديم؟ هل هو نتيجة صدمة تعرضت لها السن؟ والأهم من ذلك هل يمكن استعادة لونها الطبيعي دون اللجوء إلى خيارات معقدة ومكلفة مثل الفينير أو التيجان؟ الإجابة تكمن في إجراء دقيق ومحافظ يُعرف باسم التبييض الداخلي للأسنان (Internal Bleaching). هذا الإجراء الذي يعود تاريخه لأكثر من 150 عاما قد تطور بشكل كبير ليصبح اليوم واحدا من أكثر الحلول فعالية وأمانا لاستعادة اللون الطبيعي للأسنان غير الحية. في هذا الدليل الشامل سنستعرض كل ما تحتاج إلى معرفته حول التبييض الداخلي للأسنان بدءا من أسبابه وأنواعه وصولا إلى خطواته الدقيقة النتائج المتوقعة ومستوى الأمان الذي يوفره وكيف يمكن لخبرائنا في مجمع "رها" مساعدتك في تحقيق أفضل النتائج الممكنة.
ما هو التبييض الداخلي للأسنان؟
التبييض الداخلي للأسنان هو إجراء تجميلي محافظ يهدف إلى تفتيح لون سن واحدة غير حية (Non-vital tooth) أي سن خضعت لعلاج العصب (المعالجة اللبية) وفقدت حيويتها. على عكس التبييض الخارجي الذي يطبق على السطح الخارجي لجميع الأسنان يتم هذا الإجراء عن طريق وضع مادة التبييض داخل حجرة العصب الفارغة لتفتيح لون السن من الداخل إلى الخارج. الهدف الأساسي هو إزالة التصبغات العميقة الموجودة داخل طبقة العاج والتي لا يمكن للطرق التقليدية الوصول إليها .
الفرق بين التبييض الداخلي والخارجي للأسنان
الفهم الدقيق للفرق بين نوعي التبييض أمر ضروري لتحديد العلاج المناسب. يكمن الاختلاف الرئيسي في حيوية السن ومكان تطبيق المادة:
- التبييض الخارجي (External Bleaching): يُستخدم للأسنان الحية التي تحتوي على عصب سليم. يتم تطبيق مادة التبييض (عادة جل بيروكسيد الهيدروجين أو الكارباميد) على السطح الخارجي للأسنان إما في العيادة (In-office) أو باستخدام قوالب منزلية (At-home). يستهدف هذا النوع البقع السطحية والتصبغات التي تؤثر على طبقة المينا .
- التبييض الداخلي (Internal Bleaching): مخصص للأسنان التي تم علاجها لبّيا فقط. يتم إدخال عامل التبييض مباشرة إلى داخل السن بعد إزالة الحشوة المؤقتة من فتحة علاج العصب. يستهدف هذا الإجراء التصبغات الداخلية العميقة في العاج والناتجة عن تحلل العصب أو مواد علاج العصب .
الحالات التي يُستخدم فيها التبييض الداخلي
لا يمكن استخدام التبييض الداخلي لجميع حالات تغير اللون بل هو مخصص لحالات محددة جدا. يعد هذا الإجراء مثاليا عندما يكون لديك سن واحدة داكنة بعد أن خضعت لعلاج العصب. الأسباب الرئيسية التي تجعل التبييض الداخلي هو الخيار الأمثل تشمل:
- تغير لون السن بعد الخضوع لعلاج قناة الجذر (علاج العصب).
- تصبغ السن نتيجة نزيف داخلي بسبب صدمة أو إصابة.
- تغير اللون الناجم عن تحلل أنسجة العصب قبل إزالتها.
- تصبغ ناتج عن بعض مواد حشو العصب القديمة التي لم يتم تنظيفها بالكامل من حجرة العصب.
من الشروط الأساسية لنجاح هذا الإجراء هو أن تكون قناة الجذر معالجة بشكل ممتاز ومحكمة الإغلاق لمنع تسرب مادة التبييض إلى الأنسجة المحيطة بالجذر .
لماذا يتغير لون الأسنان من الداخل؟
يعود تغير اللون الداخلي للأسنان (Intrinsic Discoloration) إلى دخول مواد ملونة (Chromogens) إلى بنية السن الداخلية وتحديدا طبقة العاج وتراكمها داخل الأقنية العاجية الدقيقة. هذا النوع من التصبغ لا يمكن إزالته بالتنظيف العادي أو التبييض الخارجي. الأسباب الأكثر شيوعا تشمل:

تغير اللون بسبب علاج العصب
بعد علاج العصب قد تبقى بعض بقايا أنسجة العصب أو الدم داخل حجرة العصب أو قنواته. مع مرور الوقت تتحلل هذه المواد العضوية وتطلق مركبات ملونة تتسرب إلى العاج المحيط مما يؤدي إلى ظهور لون داكن يتراوح بين الرمادي والبني. بالإضافة إلى ذلك بعض مواد حشو قنوات الجذر القديمة مثل تلك التي تحتوي على الفضة يمكن أن تتسبب في تصبغ رمادي للسن مع مرور الوقت .
النزيف الداخلي داخل السن بعد إصابة (Trauma)
تعد الصدمات والإصابات التي تتعرض لها الأسنان من الأسباب الرئيسية لتغير لون سن واحدة. يمكن أن تسبب الصدمة نزيفا داخل حجرة العصب (Intrapulpal Hemorrhage). تتسرب كريات الدم الحمراء إلى الأقنية العاجية ومع تحللها يتم إطلاق الحديد من جزيئات الهيموجلوبين. يتحد هذا الحديد مع منتجات التحلل الأخرى مثل كبريتيد الهيدروجين الذي تنتجه البكتيريا مكونا كبريتيد الحديد الأسود وهو ما يعطي السن لونها الداكن المميز . في دراسة أجريت في نيجيريا وجد أن موت العصب (Pulpal Necrosis) والذي غالبا ما يكون نتيجة لصدمة يمثل 86.8% من حالات تغير لون الأسنان التي يبلغ عنها المرضى .
تحلل العصب أو بقايا الحشوات القديمة
في حال موت العصب وعدم علاجه لفترة طويلة تبدأ أنسجة العصب بالتحلل. هذه العملية تنتج مركبات بروتينية متحللة وسموم بكتيرية تتسرب بعمق في العاج مما يمنح السن لونا رماديا أو بنيا باهتا . كما أن ترك بعض مواد الحشو القديمة مثل حشوات الأملغم بالقرب من السطح الداخلي للسن يمكن أن يتسبب في تسرب أيونات معدنية إلى العاج مما يؤدي إلى تصبغ دائم.
خطوات التبييض الداخلي للأسنان في العيادة
يُعد التبييض الداخلي للأسنان إجراء دقيقا يتطلب خبرة ومهارة عالية من طبيب الأسنان. تُعرف التقنية الأكثر شيوعا وأمانا باسم "Walking Bleach Technique" وتتضمن الخطوات التالية التي نلتزم بها في مجمع "رها" الطبي لضمان أفضل النتائج:

1. فحص السن والتأكد من حالته السنية
قبل البدء بأي إجراء يقوم الطبيب بتقييم شامل للسن. يتضمن ذلك فحصا سريريا وأخذ صور أشعة للتأكد من أن علاج العصب السابق قد تم بشكل جيد وأن الحشوة محكمة الإغلاق عند قمة الجذر ولا يوجد أي التهاب أو خراج حول الجذر. هذه الخطوة حيوية لضمان سلامة الإجراء .
2. فتح بسيط لتجويف السن
تحت عزل تام باستخدام الحاجز المطاطي (Rubber Dam) يقوم الطبيب بإزالة جزء من الحشوة الخلفية للسن للوصول إلى حجرة العصب التي تم تنظيفها سابقا. هذا الفتح يكون محافظا وصغيرا جدا.
3. تنظيف داخلي وتجهيز السن لاستقبال المادة
يتم تنظيف حجرة العصب بعناية لإزالة أي بقايا من مواد الحشو القديمة أو الأنسجة المتحللة التي قد تكون سببا في التصبغ. بعد ذلك يتم وضع طبقة واقية عازلة (Coronal Seal) فوق حشوة قناة الجذر مباشرة مثل مادة الأسمنت الأيونومري الزجاجي. هذا الحاجز ضروري جدا لمنع تسرب مادة التبييض إلى قناة الجذر والأنسجة المحيطة وهو أهم إجراء للوقاية من المضاعفات مثل الامتصاص الجذري.
4. وضع مادة التبييض داخل السن
تُستخدم مواد مختلفة في التبييض الداخلي وأكثرها أمانا وفعالية هي مزيج من "بيربورات الصوديوم" (Sodium Perborate) والماء. يتم خلط المادتين لتكوين معجون سميك يتم وضعه داخل حجرة العصب . في بعض الحالات قد يتم استخدام جل بيروكسيد الكارباميد بتركيزات محددة. من المهم الإشارة إلى أن استخدام محاليل بيروكسيد الهيدروجين عالية التركيز (30-35%) لم يعد يُنصح به بسبب ارتباطه بزيادة خطر الامتصاص الجذري .
5. غلق مؤقت للسن وترك المادة لعدة أيام
بعد وضع مادة التبييض يتم إغلاق فتحة السن بحشوة مؤقتة محكمة. تُترك المادة داخل السن لتعمل على أكسدة التصبغات وتفتيحها تدريجيا. يُطلب من المريض العودة بعد 3 إلى 7 أيام لإعادة تقييم اللون .
6. إعادة تقييم اللون وتكرار الإجراء
في الجلسة التالية يقوم الطبيب بإزالة الحشوة المؤقتة ومادة التبييض ويقيم درجة التفتيح. إذا لم يتم الوصول إلى اللون المطلوب يمكن تكرار وضع مادة تبييض جديدة. قد يتطلب الأمر من جلسة إلى أربع جلسات لتحقيق النتيجة المثالية . الهدف هو الوصول إلى درجة لون أفتح قليلا من الأسنان المجاورة حيث إنه من المتوقع حدوث ارتداد طفيف في اللون مع مرور الوقت.
7. إغلاق دائم للحجرة اللبية بعد الوصول للون المطلوب
عند الحصول على اللون المرغوب يتم تنظيف حجرة العصب بالكامل ووضع حشوة دائمة ونهائية بلون السن (عادة حشوة تجميلية "كومبوزيت"). يُنصح بالانتظار لمدة تتراوح بين أسبوع وثلاثة أسابيع قبل وضع الحشوة النهائية للسماح لأي بقايا من بيروكسيد الأكسجين بالتبخر مما يضمن قوة ارتباط مثالية للحشوة .
متى تظهر نتائج التبييض الداخلي؟
يعتبر التبييض الداخلي للأسنان إجراء فعالا وسريع النتائج نسبيا. يتوقف الوقت اللازم لظهور النتائج على عدة عوامل منها سبب وشدة التصبغ الأصلي ونوع مادة التبييض المستخدمة .
في الغالب من أول أو ثاني جلسة
يشعر معظم المرضى بتحسن ملحوظ في لون السن بعد الجلسة الأولى. يتضح التغيير تدريجيا خلال الأيام القليلة التي تُترك فيها مادة التبييض داخل السن. في كثير من الحالات تكون جلستان أو ثلاث جلسات كافية لتحقيق نتيجة جمالية مرضية تماما . في الحالات التي يكون فيها التصبغ خفيفا إلى متوسط قد تكفي جلسة واحدة فقط.
تختلف النتيجة حسب درجة التصبغ ونوع التبييض المستخدم
من الطبيعي أن تختلف الاستجابة للعلاج من شخص لآخر. على سبيل المثال التصبغات الناتجة عن النزيف الداخلي بعد صدمة تستجيب عادة بشكل أسرع وأفضل من تلك الناتجة عن بعض أنواع مواد حشو العصب القديمة . كما أظهرت الدراسات أن التصبغات ذات اللون الأصفر الفاتح أو الرمادي تستجيب بشكل أفضل وأسرع من تلك ذات اللون الأصفر الداكن أو الأسود . اختيار مادة التبييض يلعب دورا أيضا فالمزائج التي تحتوي على بيروكسيد الهيدروجين تكون أسرع لكن استخدام بيربورات الصوديوم مع الماء يعتبر الخيار الأكثر أمانا ويحقق نتائج ممتازة وإن استغرق وقتا أطول قليلا .
هل التبييض الداخلي دائم؟
أحد أكثر الأسئلة شيوعا هو مدى استمرارية نتائج التبييض الداخلي. يعتبر هذا الإجراء حلا طويل الأمد لكن "الديمومة" المطلقة تعتمد على عدة عوامل.
النتائج قد تستمر لسنوات لكن بعض الحالات تحتاج إعادة
أظهرت دراسات المتابعة طويلة الأمد نتائج مشجعة جدا. في دراسة أجريت على مدار 5 سنوات وصلت نسبة النجاح إلى 79% لجميع الحالات وارتفعت إلى 91% في الحالات المثالية (حيث يكون تاج السن سليما إلى حد كبير). وفي دراسة أخرى تابعت الحالات لمدة تصل إلى 8 سنوات احتاج حوالي 40% من المرضى إلى إعادة العلاج . هذا يعني أن النتائج يمكن أن تدوم لسنوات عديدة قبل أن يكون هناك حاجة لإعادة تفتيح بسيطة.
الحفاظ على النتيجة يتطلب عناية وعدم تعريض السن لصبغات قوية
العامل الأكثر أهمية في الحفاظ على نتائج التبييض الداخلي هو جودة الحشوة النهائية. يجب أن تكون الحشوة التي تغلق السن بعد التبييض محكمة الإغلاق تماما لمنع أي تسرب من اللعاب أو الصبغات الخارجية إلى داخل السن مرة أخرى. أظهرت الدراسات أن فشل اللون (الارتداد) غالبا ما يرتبط بوجود تسرب في الحشوة النهائية . كما يُنصح المريض بالاهتمام بنظافة الفم والأسنان وتجنب الاستهلاك المفرط للمشروبات والأطعمة التي تسبب التصبغات للحفاظ على ابتسامة مشرقة لفترة أطول.
هل هناك مخاطر للتبييض الداخلي؟
يعتبر التبييض الداخلي إجراء آمنا جدا عند إجرائه بواسطة طبيب أسنان مختص ووفقا للبروتوكولات الصحيحة. ومع ذلك هناك بعض المخاطر المحتملة التي يجب أن يكون المريض على دراية بها.
تهيج مؤقت أو حساسية خفيفة
هذه الأعراض نادرة جدا في التبييض الداخلي لأن السن غير حي ولا يحتوي على عصب ليشعر بالألم. في بعض الحالات النادرة جدا قد يحدث تهيج طفيف في اللثة المحيطة بالسن إذا حدث تسرب بسيط للمادة ولكنه يزول بسرعة.
الخطر الأهم: الامتصاص الجذري الرقبي الخارجي (External Cervical Root Resorption)
هذا هو الخطر الأهم والأكثر جدية المرتبط بالتبييض الداخلي على الرغم من أنه نادر الحدوث مع التقنيات الحديثة. يحدث الامتصاص الجذري عندما تتسرب مادة التبييض (خاصة بيروكسيد الهيدروجين عالي التركيز) من حجرة العصب عبر الأقنية العاجية إلى منطقة عنق السن الخارجية (عند خط اللثة) مما يحفز استجابة التهابية تؤدي إلى تآكل جذر السن . أظهرت المراجعات العلمية أن هذا الخطر يزداد بشكل كبير في الحالات التالية:
- استخدام بيروكسيد الهيدروجين بتركيز 30% أو أعلى.
- تفعيل مادة التبييض بالحرارة (تقنية Thermocatalytic) وهي تقنية لم تعد مستخدمة.
- عدم وضع حاجز وقائي كافٍ ومحكم الإغلاق فوق حشوة قناة الجذر.
- وجود تاريخ سابق لصدمة على السن .

ضرورة القيام به فقط من قبل طبيب أسنان مختص
لتجنب هذه المخاطر من الضروري أن يتم الإجراء بواسطة طبيب أسنان لديه خبرة في التبييض الداخلي. الطبيب المختص يتأكد من جودة علاج العصب ويضع الحاجز الواقي بدقة ويستخدم المواد الأكثر أمانا مثل بيربورات الصوديوم والماء مما يجعل الإجراء آمنا وناجحا للغاية .
كيف يساعدك مجمع "رها" في هذا النوع من التبييض؟
في مجمع "رها" الطبي ندرك تماما أن ابتسامة جميلة تعزز الثقة بالنفس. لذلك نقدم خدمة التبييض الداخلي للأسنان كجزء من حلولنا التجميلية المحافظة مع التركيز على الأمان والنتائج التي تدوم.
تقييم شامل لحالة الأسنان قبل البدء
قبل أي خطوة يقوم فريقنا من أطباء الأسنان الخبراء بإجراء فحص دقيق وشامل بما في ذلك التصوير الشعاعي الرقمي لتقييم حالة علاج العصب والتأكد من أن السن مرشح مثالي للتبييض الداخلي.
استخدام مواد طبية آمنة وتقنيات دقيقة
نحن نلتزم بأحدث البروتوكولات العالمية وأكثرها أمانا. في مجمع "رها" نفضل استخدام مزيج بيربورات الصوديوم والماء وهو الخيار الذي أثبتت الدراسات أنه الأكثر أمانا في تقليل خطر الامتصاص الجذري . يتم وضع الحاجز التاجي بدقة فائقة باستخدام أحدث المواد لضمان عدم وجود أي تسرب لمادة التبييض.
متابعة دورية للتأكد من ثبات النتائج
لا تنتهي رعايتنا بانتهاء جلسات التبييض. نحن نحرص على المتابعة الدورية مع مرضانا للتأكد من ثبات اللون ورضاهم عن النتائج. كما نضمن وضع حشوة نهائية عالية الجودة ومحكمة الإغلاق للحفاظ على النتيجة لأطول فترة ممكنة.
عيادات مجهزة وخبرات في علاج الأسنان المعالجة لبّيا
تضم عيادة طب الأسنان في مجمع "رها" الطبي أحدث الأجهزة التشخيصية والعلاجية وفريقنا يتمتع بخبرة واسعة في التعامل مع الحالات المعقدة للأسنان المعالجة لبّيا مما يضمن لك الحصول على علاج احترافي وآمن من الخطوة الأولى حتى النهاية.
لا تدع سنا واحدة تعكر صفو ابتسامتك!
إذا كنت تعاني من مشكلة السن الداكن الذي يؤثر على ثقتك بنفسك فلا تتردد. إن التبييض الداخلي للأسنان هو الحل الآمن والمحافظ الذي يمكنه أن يعيد الحياة والجمال لابتسامتك. في مجمع "رها" الطبي نحن هنا لنقدم لك استشارة شاملة وتقييما دقيقا لحالتك. دع خبراءنا يساعدونك في اتخاذ الخطوة الصحيحة نحو ابتسامة مشرقة ومتجانسة. تواصل معنا اليوم لحجز موعدك واستكشف كيف يمكن للتبييض الداخلي أن يغير ابتسامتك للأفضل.
المصادر:
https://www.researchgate.net/publication/342520945_Discoloration_of_Teeth_A_Literature_Review https://pubmed.ncbi.nlm.nih.gov/12907697/ https://onlinelibrary.wiley.com/doi/10.1111/adj.13000 https://pmc.ncbi.nlm.nih.gov/articles/PMC4111029/ https://pmc.ncbi.nlm.nih.gov/articles/PMC9790475/ https://www.nature.com/articles/4800959 https://www.nature.com/articles/4800959 https://pubmed.ncbi.nlm.nih.gov/20415931/ https://pubmed.ncbi.nlm.nih.gov/9120147/