حشو أسنان أطفال بالرياض – علاج التسوس بسرعة
حشو أسنان الأطفال هو إجراء طبي ضروري لعلاج تسوس الأسنان اللبنية لدى الأطفال وحماية صحة الفم على المدى الطويل. وفقاً للمصادر الطبية الموثوقة، يعاني العديد من الأطفال من تسوس الأسنان في سن مبكرة، وإذا لم يتم علاجه بشكل صحيح، قد يؤدي إلى مضاعفات صحية خطيرة. يهدف حشو أسنان الأطفال إلى إزالة الجزء المتسوس من السن وحفظ البقية السليمة، مما يضمن بقاء السن اللبني حتى وقت سقوطه الطبيعي ويسمح للسن الدائم بالظهور بشكل صحيح.

احجز الآن لحماية أسنان طفلك من التسوس
احجز موعد في عيادة أسنان الأطفال
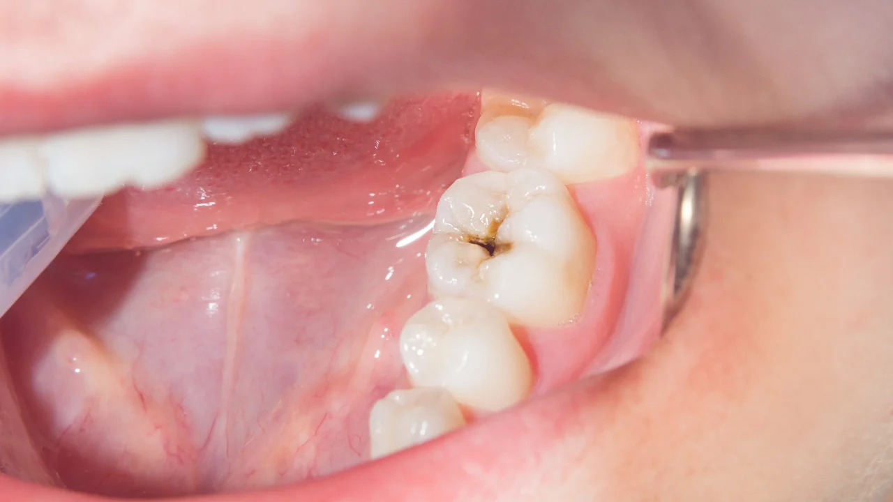
متى يحتاج الطفل إلى حشو الأسنان؟
حشو أسنان الأطفال يصبح ضرورياً عندما يظهر تسوس في أسنان الطفل اللبنية. وفقاً للمصادر الطبية الموثوقة، يمكن أن يحدث تسوس الأسنان اللبنية لأسباب متعددة،يشمل poor oral hygiene, frequent consumption of sugary foods and drinks, and lack of regular dental check-ups. عندما يلاحظ الآباء بقعاً بيضاء أو بنية على أسنان أطفالهم، أو يشكو الطفل من ألم في الأسنان، أو يلاحظون تورماً في اللثة، فقد تكون هذه علامات على وجود تسوس يحتاج إلى علاج فوري.
من المهم معرفة أن تسوس الأسنان اللبنية لا يؤثر فقط على صحة الفم الحالية للطفل، بل يمكن أن يؤثر أيضاً على نمو الأسنان الدائمة. وفقاً للمصادر الطبية، إذا لم يتم علاج التسوس في الأسنان اللبنية، يمكن أن ينتشر إلى الأسنان الدائمة التي تتطور تحت اللثة، مما يسبب مشاكل صحية إضافية في المستقبل. لذلك، يوصى بزيارة طبيب الأسنان بانتظام للكشف المبكر عن أي علامات تسوس وعلاجها قبل أن تتفاقم.

أعراض تسوس الأسنان التي تتطلب حشواً فورياً:
- ظهور بقع بيضاء أو بنية على الأسنان
- شكوى الطفل من ألم في الأسنان
- حساسية الأسنان عند تناول المشروبات الباردة أو الساخنة
- تورم أو احمرار في اللثة حول السن المصاب
- رائحة فم كريهة مستمرة
- صعوبة في المضغ أو الأكل
أسباب تسوس أسنان الأطفال
فهم أسباب تسوس أسنان الأطفال يساعد الآباء على الوقاية منه والحفاظ على صحة أسنان أطفالهم. وفقاً للمصادر الطبية الموثوقة، يحدث تسوس الأسنان عندما تتفاعل البكتيريا الموجودة في الفم مع السكريات من الأطعمة والمشروبات، مما ينتج أحماضاً تهاجم مينا الأسنان وتتسبب في تآكلها بمرور الوقت. هناك عدة عوامل تزيد من خطر إصابة الأطفال بتسوس الأسنان.

الأسباب الرئيسية لتسوس أسنان الأطفال:
- نظافة الفم غير الكافية وعدم تنظيف الأسنان بانتظام
- تناول كميات كبيرة من الأطعمة والمشروبات السكرية
- عدم زيارة طبيب الأسنان بشكل منتظم للكشف المبكر
- عدم كفاية الفلوريد في الماء أو معجون الأسنان
- العادات الغذائية السياسية مثل تناول الوجبات الخفيفة باستمرار
- انتقال البكتيريا المسببة للتسوس من الآباء إلى الأطفال
من المهم ملاحظة أن تسوس الأسنان اللبنية يمكن أن يحدث حتى في الأطفال الصغار جداً، بما في ذلك الرضع. هذا ما يسمى "تسوس الرضاعة الطبيعية" أو "تسوس زجاجة الرضاعة"، ويحدث عندما يتعرض الطفل بشكل متكرر للمشروبات السكرية مثل الحليب بالسكر أو العصائر، خاصة قبل النوم. يمكن الوقاية من هذا النوع من التسوس عن طريق تجنب إعطاء الطفل زجاجة حليب أو عصير عند النوم وتنظيف لثة الطفل بلطف بعد كل رضعة.
👉 هل تبحث عن عيادة أسنان أطفال متخصصة بالرياض؟ احجز الآن معنا للحصول على علاج تسوس أسنان طفلك بأحدث التقنيات
أنواع حشو الأسنان للأطفال
تتوفر عدة أنواع من حشو أسنان الأطفال، ويقوم طبيب الأسنان باختيار النوع الأنسب بناءً على موقع السن المصاب، مدى التسوس، وعوامل أخرى متعلقة بصحة الطفل. وفقاً للمصادر الطبية الموثوقة، يمكن تقسيم أنواع الحشو المستخدمة للأطفال إلى فئات رئيسية، كل منها يتميز بمميزات وعيوب خاصة.
أنواع حشو الأسنان الشائعة للأطفال:
- الحشو الأبيض (المركب): يصنع من مادة مركبة تتطابق مع لون الأسنان الطبيعية، مما يجعله خياراً جمالياً ممتازاً. يتم استخدامه بشكل أساسي للأسنان الأمامية حيث المظهر مهم.
- الحشو الفضي (الأملغام): يتكون من خليط من المعادن including الفضة والزئبق والنحاس والقصدير. يتميز بقوته ومتانته، مما يجعله مناسباً للأسنان الخلفية التي تتعرض لضغط أكبر أثناء المضغ.
- حشو أيونومر الزجاجي: يطلق الفلوريد بمرور الوقت، مما يساعد في منع تسوس إضافي. يتم استخدامه غالباً للأسنان التي تتعرض لخطر عالٍ للتسوس أو في المناطق التي يصعب الوصول إليها.
- تاج الأسنان: في حالات التسوس الشديد، قد يوصي طبيب الأسنان بتاج بدلاً من الحشو. التاج يغطي السن بالكامل ويوفر حماية أكبر.

يختار طبيب الأسنان نوع حشو الأسنان اللبنية المناسب بناءً على عدة عوامل، بما في ذلك حجم وموقع التسوس، عمر الطفل، وتاريخه الصحي. في بعض الحالات، قد يستخدم الأطباء تقنيات متقدمة مثل الليزر لإزالة التسوس بدون حفر تقليدي، مما يقلل من القلق وعدم الراحة لدى الأطفال. يمكنك معرفة المزيد عن تبييض الأسنان بالرياض كجزء من خدمات العناية بالأسنان الشاملة.
خطوات حشو أسنان الأطفال
تتبع عملية حشو أسنان الأطفال خطوات محددة لضمان نجاح العلاج وراحة الطفل خلال الإجراء. وفقاً للمصادر الطبية الموثوقة، يتبع أطباء الأسنان بروتوكولاً معيارياً عند إجراء حشو الأسنان للأطفال، مع تعديلات حسب عمر الطفل وحالته الصحية ومستوى تعاونه.
خطوات حشو أسنان الأطفال:
- الفحص والتشخيص: يقوم طبيب الأسنان بفحص فم الطفل بشكل شامل وقد يطلب أشعة سينية لتحديد مدى التسوس والتخطيط للعلاج.
- التخدير: في معظم الحالات، يتم استخدام تخدير موضعي لتخدير المنطقة حول السن المصاب، مما يجعل الإجراء غير مؤلم للطفل.
- إزالة التسوس: يستخدم الطبيب أدوات خاصة لإزالة الجزء المتسوس من السن بعناية، مع الحفاظ على أكبر قدر ممكن من السن السليم.
- تنظيف وتجهيز السن: بعد إزالة التسوس، يتم تنظيف السن وتجهيز السطح لاستقبال مادة الحشو.
- وضع الحشو: يتم وضع مادة الحشو المختارة في التجويف الذي تم إعداده، ثم تشكيلها لتتناسب مع شكل السن الطبيعي.
- تصليب الحشو: في حالة استخدام الحشو المركب، يتم استخدام ضوء خاص لتصليب المادة وتقويتها.
- اللمسات النهائية: يتم صقل وتنعيم الحشو لضمان عدم وجود حواف حادة قد تؤذي اللسان أو الشفاه.
تستغرق عملية حشو الأسنان للأطفال عادة من 30 إلى 60 دقيقة، حسب مدى التسوس ونوع الحشو المستخدم. من المهم ملاحظة أن الأطفال الصغار قد يشعرون بالقلق أو الخوف من زيارة طبيب الأسنان، لذا يستخدم الأطباء تقنيات خاصة لتهدئة الأطفال وجعل التجربة أكثر إيجابية، مثل شرح الإجراء بلغة بسيطة، استخدام ألعاب أو رسوم متحركة لتشتيت انتباه الطفل، أو استخدام تقنيات الاسترخاء.
تكلفة حشو أسنان الأطفال بالرياض
تختلف تكلفة حشو أسنان الأطفال في الرياض حسب عدة عوامل،يشمل نوع الحشو المستخدم، مدى تعقيد الحالة، ومستوى الخدمة المقدمة في العيادة. وفقاً للمصادر الطبية الموثوقة، يمكن أن تتراوح تكلفة حشو سن واحد للأطفال بين 200 إلى 600 ريال سعودي، وقد تزيد في الحالات المعقدة التي تتطلب علاجاً متخصصاً.

العوامل المؤثرة على تكلفة حشو أسنان الأطفال:
- نوع الحشو: الحشو الأبيض (المركب) عادة ما يكون أكثر تكلفة من الحشو الفضي (الأملغام).
- مدى التسوس: التسوس البسيط الذي يمكن علاجه بحشو صغير يكون أقل تكلفة من التسوس المتقدم الذي يتطلب علاجاً معقداً.
- موقع السن: حشو الأسنان الأمامية قد يكون أكثر تكلفة بسبب الحاجة إلى دقة أكبر في العمل.
- مستوى العيادة: العيادات المتخصصة في علاج الأطفال قد تكون أكثر تكلفة ولكنها توفر رعاية أفضل.
- الحاجة للتخدير أو التقنيات الخاصة: بعض الحالات قد تتطلب تخديراً عاماً أو تقنيات خاصة تزيد من التكلفة.
من المهم ملاحظة أن العديد من خطوط التأمين الصحي تغطي تكاليف حشو الأسنان اللبنية للأطفال، أو على الأقل جزءاً منها. يوصى بالتحقق من تغطية التأمين الصحي قبل حجز الموعد. كما تقدم بعض العيادات باقات متخصصة للعناية بأسنان الأطفال تشمل الفحوصات الدورية والعلاجات اللازمة بأسعار مخفضة. يمكنك معرفة المزيد عن خدمات عيادة أسنان أطفال بالرياض والأسعار المتاحة.
أفضل عيادة حشو أسنان أطفال بالرياض
عند البحث عن أفضل عيادة حشو أسنان أطفال بالرياض، هناك several عوامل يجب مراعاتها لضمان حصول الطفل على أفضل رعاية ممكنة. وفقاً للمصادر الطبية الموثوقة، تتميز العيادات الجيدة بتوفرها على أطباء متخصصين في علاج أسنان الأطفال، استخدامهم لأحدث التقنيات، وقدرتهم على التعامل مع الأطفال بطريقة تجعل تجربة العلاج إيجابية.

معايير اختيار أفضل عيادة لأسنان الأطفال:
- وجود أطباء متخصصين في علاج أسنان الأطفال لديهم خبرة في التعامل مع الأطفال
- استخدام أحدث التقنيات والمعدات في علاج تسوس الأسنان
- توفر بيئة مريحة ومصممة خصيصاً للأطفال مع ألعاب وأنشطة ترفيهية
- توفر خدمات الطوارئ لحالات الألم المفاجئ أو الإصابات
- وجود برامج وقائية وتعليمية للأطفال والآباء
- أسعار معقولة وخطط دفع مرنة
تتميز عيادة أسنان الأطفال الجيدة بقدرتها على جعل تجربة زيارة طبيب الأسنان إيجابية للأطفال، مما يقلل من القلق ويساعد في بناء عادات صحية جيدة للعناية بالأسنان مدى الحياة. بعض العيادات تقدم خدمات إضافية مثل التوعية الصحية للأطفال حول كيفية تنظيف الأسنان بشكل صحيح، ونصائح للآباء حول التغذية السليمة للوقاية من تسوس الأسنان.
الفرق بين حشو الأسنان المؤقت والدائم
يوجد فرق مهم بين حشو الأسنان المؤقت (اللبنية) وحشو الأسنان الدائمة، وهذا الفرق يؤثر على طريقة العلاج والمواد المستخدمة. وفقاً للمصادر الطبية الموثوقة، على الرغم من أن الأسنان اللبنية مؤقتة وسوف تسقط في النهاية، إلا أن الحفاظ عليها سليمة أمر ضروري لصحة الفم العامة للطفل.
الفرق بين حشو الأسنان اللبنية والدائمة:
- الحجم والشكل: الأسنان اللبنية أصغر حجماً وأكثر استدارة من الأسنان الدائمة، مما يتطلب دقة أكبر في الحشو.
- سمك المينا: مينا الأسنان اللبنية أرق من مينا الأسنان الدائمة، مما يجعلها أكثر عرضة للتسوس ويحتاج إلى علاج أسرع.
- المواد المستخدمة: قد تستخدم مواد مختلفة لحشو الأسنان اللبنية، مع التركيز على المواد التي يمكن إزالتها بسهولة عند سقوط السن.
- مدة البقاء: حشو الأسنان اللبنية مصمم للبقاء حتى سقوط السن الطبيعي، بينما حشو الأسنان الدائمة مصمم للبقاء لسنوات طويلة.
- الأهمية الوظيفية: الأسنان اللبنية تحافظ على المساحة للأسنان الدائمة وتساعد في النمو الصحيح للفم والوجه.
من المهم فهم أن حشو الأسنان اللبنية ليس أقل أهمية من حشو الأسنان الدائمة. وفقاً للمصادر الطبية، إذا لم يتم علاج التسوس في الأسنان اللبنية، يمكن أن يؤدي ذلك إلى ألم وعدوى، وقد يؤثر على نمو الأسنان الدائمة. كما أن فقدان الأسنان اللبنية مبكراً يمكن أن يؤدي إلى مشاكل في محاذاة الأسنان الدائمة، مما قد يتطلب علاجاً تقويمياً مكلفاً في المستقبل.
أهمية العناية بأسنان الطفل بعد الحشو
بعد إجراء حشو أسنان الأطفال، تصبح العناية بالأسنان أكثر أهمية لضمان بقاء الحشو سليماً ومنع تسوس إضافي. وفقاً للمصادر الطبية الموثوقة، هناك several إرشادات يجب على الآباء اتباعها للمساعدة في الحفاظ على صحة أسنان أطفالهم بعد الحشو.

نصائح للعناية بأسنان الطفل بعد الحشو:
- المتابعة مع تعليمات طبيب الأسنان بخصوص الأكل والشرب بعد الحشو
- الاستمرار في تنظيف أسنان الطفل بانتظام باستخدام معجون أسنان يحتوي على الفلوريد
- تقليل تناول الأطعمة والمشروبات السكرية، خاصة بين الوجبات
- متابعة زيارات طبيب الأسنان بشكل منتظم للفحص والتنظيف
- مراقبة أي علامات للألم أو عدم الراحة بعد الحشو وإبلاغ الطبيب فوراً
- تشجيع الطفل على استخدام خيط الأسنان بانتظام تحت الإشراف
من المهم أيضاً تعليم الطفل العادات الصحية الجيدة للعناية بالأسنان، مثل تنظيف الأسنان مرتين يومياً لمدة دقيقتين، استخدام خيط الأسنان يومياً، وتجنب الأطعمة والمشروبات السكرية قدر الإمكان. هذه العادات لا تساعد فقط في الحفاظ على الحشو الحالي، بل تمنع أيضاً تسوساً إضافياً في المستقبل. يمكنك معرفة المزيد عن تبييض الأسنان بالرياض كجزء من العناية الشاملة بالأسنان.
هل يسبب الحشو ألمًا للأطفال؟
واحدة من المخاوف الشائعة لدى الآباء هي ما إذا كان حشو أسنان الأطفال يسبب ألماً لأطفالهم. وفقاً للمصادر الطبية الموثوقة، معظم إجراءات حشو الأسنان للأطفال غير مؤلمة بفضل استخدام التخدير الموضعي. قد يشعر الطفل ببعض الضغط أو الاهتزازات أثناء إزالة التسوس، ولكن لا يجب أن يشعر بألم حقيقي.
قبل بدء الإجراء، يقوم طبيب الأسنان عادة بتوضيح العملية للطفل بلغة بسيطة ومناسبة لعمره، مما يساعد في تقليل القلق. كما يستخدم الأطباء تقنيات مختلفة لجعل التجربة أكثر إيجابية، مثل استخدام الألعاب أو الرسوم المتحركة لتشتيت انتباه الطفل، أو استخدام "التخدير الضاحك" (أكسيد النيتروز) للمساعدة في الاسترخاء.
بعد الإجراء، قد يشعر بعض الأطفال ببعض الحساسية أو عدم الراحة في السن المعالج لعدة ساعات، ولكن هذا عادة ما يزول بسرعة. يمكن إعطاء مسكنات الألم الخفيفة المناسبة لعمر الطفل إذا لزم الأمر، ولكن يجب استشارة الطبيب أولاً. من المهم طمأنة الطفل وإخباره أن الشعور بعد الحشو طبيعي وسيزول قريباً.
متى يجب مراجعة الطبيب؟
بعد إجراء حشو أسنان الأطفال، هناك بعض الحالات التي تتطلب مراجعة طبيب الأسنان مرة أخرى. وفقاً للمصادر الطبية الموثوقة، من المهم مراقبة حالة الطفل بعد الحشو والانتباه إلى أي علامات قد تشير إلى وجود مشكلة تحتاج إلى عناية طبية.
الحالات التي تتطلب مراجعة طبيب الأسنان بعد الحشو:
- استمرار الألم في السن المعالج لأكثر من يومين
- ظهور تورم في اللثة أو الوجه حول السن المعالج
- صعوبة في المضغ أو العض بعد الحشو
- شعور بعدم ارتياح عند إغلاق الفم أو عض الأسنان معاً
- سقوط الحشو أو تلفه
- ظهور حساسية شديدة للحرارة أو البرد بعد زوال تأثير التخدير
من المهم أيضاً الالتزام بمواعيد المتابعة التي يحددها طبيب الأسنان بعد حشو الأسنان اللبنية. هذه الزيارات تسمح للطبيب بالتحقق من حالة الحشو وضمان عدم وجود أي مضاعفات، كما توفر فرصة لتعليم الطفل والآباء حول أفضل طرق العناية بالأسنان. الوقاية دائماً أفضل من العلاج، والفحوصات الدورية هي أفضل طريقة للكشف المبكر عن أي مشاكل في الأسنان وعلاجها قبل أن تتفاقم.
لا تنتظر أكثر... احجز لحماية أسنان طفلك اليوم!
المصادر
- Hudson Valley Pediatric Dentistry. (2024). What Parents Should Know About Cavity Treatment for Kids.
- IDC Exton. (2024). Why Dental Fillings Are Sometimes Needed in Baby Teeth.
- Adorable Smiles Pediatric Dentistry. (2024). Pediatric Tooth Cavity Filling Cost.
- Healthline. (2024). Cavities in Kids: Causes, Treatment, and Prevention.
- American Academy of Pediatrics. (2024). Silver Diamine Fluoride to Stop Tooth Decay.