قد تُعد مشاكل الأسنان عند الأطفال أكثر صعوبة من الكبار؛ إذ يكون من الصعب السيطرة على الألم لدى أولئك الصغار، بالإضافة إلى قلقهم وخوفهم من زيارة طبيب الأسنان، وعلاوة على ذلك، فإن طبيعة الأسنان اللبنية وتأثيرها على نمو الأسنان الدائمة يزيد من تعقيد المشكلة، مما يجعل الاهتمام بصحة أسنان الأطفال أمرًا بالغ الأهمية.
من هذا المنطلق، وبسبب حرصنا على أسنان أطفالنا وصحتهم، نقدم هذا المقال لتسليط الضوء على أبرز مشاكل الأسنان التي تواجه الأطفال، وأهمية العناية بالأسنان اللبنية، بالإضافة إلى نصائح عملية للحفاظ على صحة فم أطفالنا منذ الصغر.
الموضوع:
ما أشهر مشاكل الأسنان عند الأطفال؟
هناك عدد كبير من مشكلات الأسنان تواجه الأطفال بداية من ظهور أسنانهم اللبنية وحتى في أثناء تبديلها؛ وللأسف قد تؤثر هذه المشكلات سلبًا في صحة الطفل العامة؛ إليك أشهر مشاكل الأسنان عند الأطفال، وهي:
-
مشكلات التسنين

تُعد مرحلة التسنين من أهم مراحل نمو الطفل وتطوره، إذ تبدأ أسنان الأطفال ومشاكلها في الظهور، مثل:
- الألم.
- تورم اللثة.
- ارتفاع طفيف في درجة الحرارة.
وقد لا تقف مرحلة ظهور أسنان الأطفال ومشاكلها عند هذا الحد؛ فقد تصل إلى تأخر التسنين أو ظهور بعض الأسنان فقط، وقد تنمو الأسنان بشكل غير طبيعي، وفي هذه الحالة يجب التوجه إلى أفضل عيادة اسنان اطفال لتشخيص المشكلة مبكرًا والتغلب على هذه المرحلة دون أي مضاعفات.
-
تسوس الأسنان (Tooth Decay)

تُعد مشكلة تسوس الأسنان في الطفولة المبكرة من أشهر مشاكل الأسنان عند الأطفال؛ إذ تتسبب البكتيريا المسببة للتسوس في تكون أحماض تسبب تلفًا تدريجيًا في مينا الأسنان وقد يصل التسوس إلى ظهور تجاويف أو فراغات الأسنان، وإذا لم يعالج مبكرًا يصل التسوس إلى العصب مسببًا الألم الشديد والحساسية.
-
تآكل الأسنان (dental erosion)
تنشأ مشكلة تآكل الأسنان كإحدى مشاكل الأسنان عند الأطفال بسبب تعرض مينا الأسنان باستمرار إلى الاحتكاك أو الأطعمة أو المشروبات الحمضية وهنا يختلف السبب عن سبب التسوس الذي يصاحبه وجود بكتيريا. ومع اختلاف كل من تآكل الأسنان والتسوس إلا أنهما قد يحدثان معًا.
هناك مشكلات أخرى قد تصاحب تآكل الأسنان، مثل:
- حساسية الأسنان للأطعمة الباردة أو الساخنة.
- مشكلات سوء الإطباق.
- صعوبة الأكل أو المضغ.
- خراج الأسنان.
- تشوهات في شكل الأسنان تؤثر في مظهر الابتسامة.
- انكشاف أنسجة لب السن، مما يسبب ألمًا شديدًا ويستلزم علاجًا عاجلًا.
لذا يساعد الكشف الدوري في عيادة اسنان اطفال على التشخيص المبكر لأسنان الأطفال ومشاكلها قبل تفاقمها؛ بالإضافة إلى أهمية العناية بصحة فم الطفل في تجنب حدوث مشكلة تآكل الأسنان.
-
إصابات الأسنان
يكون الأطفال عرضة للسقوط خلال مرحلة تعلم المشي؛ وتتنوع حوادث أسنان الأطفال ومشاكلها، ما بين الكسر أو فقدان الأسنان بشكل نهائي؛ وتتطلب إصابات الأسنان التدخل السريع لتثبيت الأسنان المخلوعة أو استخدام الحشوات لتعويض الأجزاء المفقودة من السن، إضافة إلى علاج قناة الجذر في حالات تعرض اللب للتلف.
-
سقوط الأسنان المبكر

قد يفقد بعض الأطفال أسنانهم اللبنية في وقت مبكر، ولا سيما إذا ظهرت تلك الأسنان مبكرًا أيضًا، ويُعد هذا أمرًا طبيعيًا لا يستدعي القلق.
ومع ذلك قد يكون سقوط الأسنان اللبنية ناجمًا عن تسوس الأسنان، مما يطلب تدخلًا سريعًا لمنع سقوط بقية الأسنان.
وفي حالات نادرة يكون سقوط الأسنان اللبنية المبكر بسبب بعض الأمراض النادرة، مثل: متلازمة بابيلون لوفيفر(Papillon–Lefèvre syndrome) التي يصاحبها التهاب دواعم السن، أو نتيجة نقص إنزيم الفوسفاتاز (Hypophosphatasia)؛ مما يتسبب في ضعف العظام والأسنان.
لذا إذا شعرت بالقلق بشأن سقوط أسنان الأطفال ومشاكلها المختلفة؛ ننصحك بزيارة عيادة اسنان اطفال الرياض؛ للاطمئنان ومعرفة سبب سقوط الأسنان المبكر، وتفادي مشاكل الاسنان اللبنية الأخرى.
-
تأخر سقوط الأسنان اللبنية
مثلما يُعد سقوط الأسنان المبكر من مشاكل الأسنان عند الأطفال فإن تأخر سقوطها من المشكلات أيضًا. ويحدث تأخر سقوط الأسنان اللبنية بسبب مشكلات نادرة، مثل: متلازمة أندرسن-طويل (Andersen–Tawil syndrome) وغيرها من المشكلات النادرة، ويتطلب الأمر زيارة طبيب الأسنان لتحديد المشكلة وعلاجها.
-
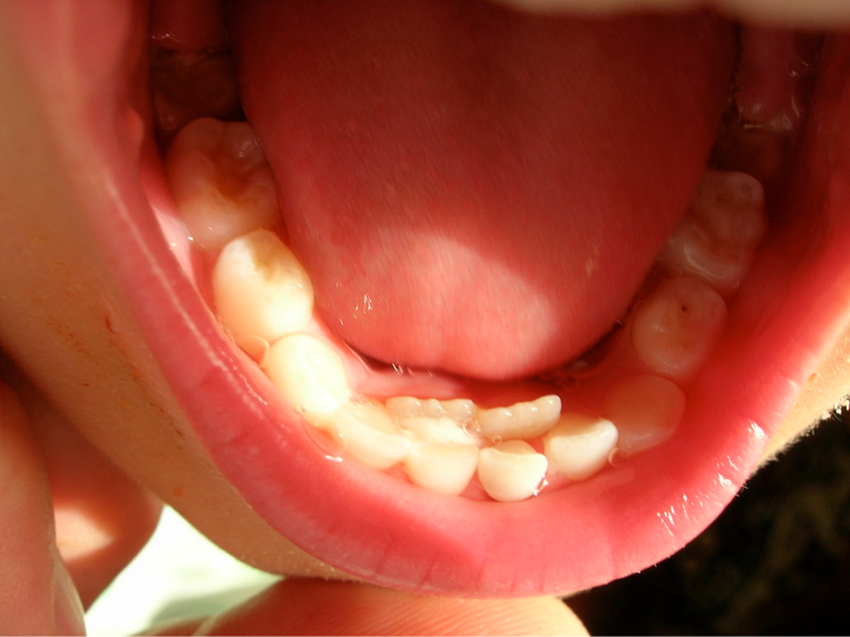
ظهور الأسنان الدائمة خلف الأسنان اللبنية (Shark teeth)

قد تتعجب إذا لاحظت ظهور صف من الأسنان لدى طفلك خلف أسنانه اللبنية؛ فيما يعرف بأسنان القرش، وهو مصطلح قد يبدو مخيفًا ولكن الأمر بسيط للغاية، وما عليك سوى الاستمرار في تنظيف الأسنان بانتظام، وانتظر حتى تتساقط الأسنان اللبنية وفي حال تأخر سقوطها استشر افضل عيادة اسنان للاطفال في مجمع رها الطبي.
-
أمراض اللثة

تحدث أمراض اللثة بسبب تراكم البكتيريا وبقايا الطعام وخاصة الأطعمة الغنية بالسكر فتتكون طبقة من البلاك والجير التي تؤدي إلى التهاب اللثة وتورمها ونزيفها.
تُعرف المرحلة الأولى من أمراض اللثة بالتهاب اللثة (gingivitis)؛ وهي المرحلة الأكثر شيوعًا في الأطفال وإذا لم تُعالج فقد تنتشر العدوى وتسبب التهاب اللثة ودواعم السن (Periodontitis)، فتؤثر في العظام والأنسجة الداعمة للأسنان، وفي النهاية قد تسقط السن.
إذا لاحظت أيً من الأعراض الآتية على طفلك فلا تتأخر واستشر طبيب عيادة اسنان للاطفال، وتشمل أعراض أمراض اللثة، ما يلي:
- احمرار وانتفاخ اللثة.
- انحسار اللثة.
- تخلخل الأسنان أو تغير مواضعها.
- رائحة الفم الكريهة المستمرة.
- تغير في الإطباق أو انحراف الفك.
- وجود صديد بين الأسنان واللثة.
-
رائحة الفم
قد يؤدي إهمال نظافة الفم والأسنان إلى تراكم الجير وظهور رائحة الفم الكريهة؛ أيضًا قد تتسبب مشكلات الأسنان الناجمة عن التهاب الجيوب الأنفية في حدوث رائحة الفم الكريهة؛ لذا يُنصح باستشارة الطبيب إذا لم تتحسن رائحة الفم مع الاهتمام بنظافة الفم والأسنان.
-
حساسية الأسنان
تُعد من مشاكل الأسنان لدى الأطفال والكبار، وتتميز بألم حاد مع المشروبات الباردة أو الساخنة أو بعد تنظيف الأسنان باستخدام الفرشاة، وقد تكون حساسية الأسنان ناتجة عن بعض مشاكل الأسنان عند الأطفال، مثل: تسوس الأسنان أو تآكل الأسنان؛ وفي هذه الحالة يجب استشارة الطبيب مع الالتزام بنظافة الأسنان بمعجون مخصص للأسنان الحساسة.
-
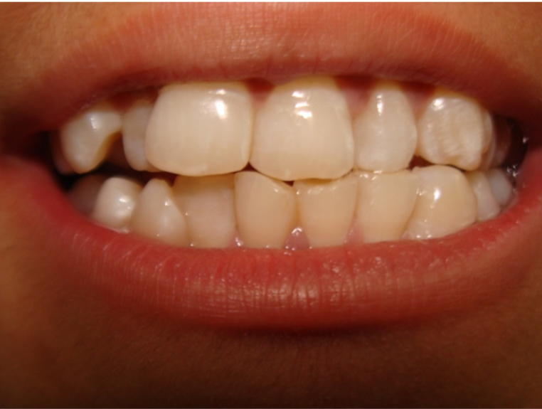
سوء الإطباق

تُعرف أيضًا بسوء ارتصاف الأسنان (Malocclusion)، وتُعد من أبرز مشاكل الأسنان لدى الأطفال؛ وتنشأ بسبب عدم التوازن بين حجم الأسنان وحجم الفك، وقد ترتبط بمشكلات الأسنان الأخرى، مثل:
- تسوس الأسنان.
- إصابات الأسنان.
- العادات السيئة، مثل: مص الأصابع.
- المشكلات التي تصيب جذر السن.
- مشكلات تكوين الأسنان، التي تسبب ازدحام الأسنان واعوجاجها.
وللأسف تؤثر هذه المشكلة على مظهر الابتسامة وقد تسبب مشكلات في المضغ أو النطق مما يستدعي استشارة
افضل عيادة تقويم اسنان للتشخيص واختيار أفضل أنواع التقويم التي تناسب الأطفال.
-
جز الأسنان (الصرير)

يُعرف جز الأسنان (الصرير) بالإنجليزية (Bruxism)، ويحدث بسبب إحدى المشكلات الآتية:
- سوء اصطفاف الأسنان.
- آلام التسنين.
- ألم الأذن.
- القلق.
- فرط النشاط.
- الشلل الدماغي.
- بعض الأدوية.
قد يتسبب صرير الأسنان في تآكل مينا الأسنان وحساسية الأسنان وآلام الأذن والوجه والفك، مما يستدعي استشارة الطبيب لتحديد أي مشاكل الأسنان لدى الأطفال سببها صرير الأسنان للبدء في علاجها على الفور ويمكن أن يصف الطبيب الواقي الفموي للحفاظ على الأسنان.
نصائح للوقاية من مشاكل الأسنان عند الأطفال
إليك بعض النصائح للوقاية من مشاكل الأسنان عند الأطفال:
- ابدأ العناية بالفم قبل ظهور أول سن، عن طريق مسح لثة الرضيع بعد كل رضاعة، بلطف بقطعة قماش نظيفة ومبللة.
- تنظيف الأسنان بانتظام مرتين يوميًا بمجرد ظهور أول سن باستخدام فرشاة ناعمة ومعجون مخصص للأطفال.
- يجب الإشراف على تنظيف الأسنان حتى يكبر الطفل ويتعلم هذا الأمر بمفرده.
- تجنب العادات السيئة، مثل: عادة مص الإصبع.
- تناول كميات كافية من الماء ولا سيما بعد تناول الأطعمة والسكريات.
- تجنب الأطعمة والمشروبات الغنية بالسكر.
- الالتزام بموعد الفحوصات الدورية للأسنان بدءًا من عمر السنة أو بمجرد ظهور أول سن.
الخاتمة:
وختامًا، مع تعدد مشاكل الأسنان عند الأطفال ولا سيما مشاكل الاسنان اللبنية، فنحن بحاجة إلى أن نفيق من غفلة إهمال أسنان أطفالنا، ونعمل على غرس عادات صحية سليمة منذ الصغر، لأن صحة أسنانهم اليوم هي أساس ابتسامتهم ومستقبلهم الصحي غدًا.
المصادر: